Defects can cause a lot of pain to your customer.
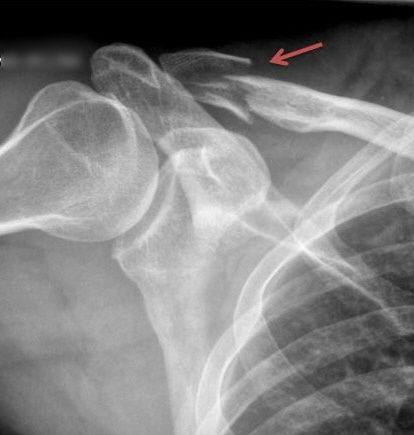
They can also cause a lot of pain inside your body. The picture at right shows my broken right clavicle. Ouch!
You might think of it as the defective output from my bicycling process, which needs improvement.
Sitting around all summer cinched up in a foam orthopedic brace hasn’t exactly been wild and wacky 50s-style fun at the beach.
But the injury has had its perks (a box of mouth-watering dark chocolate ganaches from kind Minitab coworkers, for example!)
It’s also provided me with a rare commodity in the year 2013: Plenty of time to think.
Always on the lookout for a quality improvement opportunity, my brain ponders how this defect could have been prevented.
“If only I had slowed down coming down that hill...”
“If only I hadn’t tried to make that sharp 95-degree turn…”
“If only I had triple somersaulted with a half twist and landed squarely on my feet with a big smile, like a Romanian gymnast ..."
If Only I Had Displayed a Bar Chart in Minitab
If I could turn back the clock, before I hopped on my bicycle, I'd have carefully examined data from the U.S. National Electronic Injury Surveillance System (NEISS).
(You may have never heard of the NEISS. It's part of powerful, pervasive federal program that secretly records data every time you stub your big toe and say a naughty word.)
Randomly sampling from the nearly 14,000 bicycle-related injuries recorded by the NEISS in 1991, a federal study sought to identify the main causes of bicycling accidents that resulted in rider injury.
If only I'd started my summer by graphically analyzing these data in Minitab...

I'd like to say that I was performing a combination death spiral/12 o'clock wheelie with a switchback handstand when an asteroid fragment suddenly fell from space and lodged in my spokes (see the smallest bars at the bottom, representing 7% and 12% of incidents).
But the simple, boring truth is that I'm a klutz of the most common variety.
The primary causes of my accident are shown by the two longest bars on the chart: uneven road surface and excessive speed. (In my case, it was a perfect storm: the road surface switched from dry, compacted soil to asphalt pavement at the bottom of a hill, which allowed me to maximize my speed just as I hit the uneven surface. Whoo-hoo!)
According to the chart, mechanical malfunction is another frequently cited cause of bicycling accidents that lead to rider injury. But that's a broad category. It couldn't have helped me prevent my mishap.
Unless, of course, I'd taken the time to identify the "vital few" mechanical malfunctions behind most injury-causing bicycling accidents...
If Only I Had Displayed a Pareto Chart in Minitab
Once the types of mechanical malfunctions are displayed in a Pareto chart, the critical malfunctions involved in most bicycling injuries become easy to spot.

Brakes are the No. 1 mechanical malfunction. Look at the associated ascent of the cumulative line. I'd hate to bike down that hill.
And true to the chart, a pair of sneaky, clutching metallic brake pads played a crucial role in my accident:
As I was coming down the hill, I spotted the sharp turn ahead on the road. When I realized I was going too fast to make the turn, I quickly squeezed the brakes. Too little, too late, you might think. But no: this was too much, too late.
As soon as the bike hit uneven surface, the disc brakes locked up. Kinetic energy kindly did the rest, hurling me over the handlebars and into space -- much like an asteroid fragment.
(I landed somewhere in Russia. To much fanfare. After revealing sensitive NEISS data, I am now seeking permanent asylum).
So there you have it.
My life. My fate. Lying hidden in the vast vaults of NEISS data, just waiting to be teased out in a Minitab bar chart or Pareto chart.
Who needs Tarot cards?